ΒΛΑΙΣΟΣ ΜΕΓΑΣ ΔΑΚΤΥΛΟΣ
Ο βλαισός μέγας δάκτυλος (κότσι ή hallux valgus στην διεθνή ορολογία) είναι μια παραμόρφωση στο μεγάλο δάκτυλο του ποδιού.
Κατά τη βλάβη αυτή το μεγάλο δάκτυλο παρουσιάζει ένα εξόγκωμα και παίρνει μια κατεύθυνση προς τα έξω δηλαδή προς το μικρό δάκτυλο.
Όμως η παθολογία του βλαισού μεγάλου δακτύλου περιλαμβάνει πολλές παραπάνω βλάβες και αλλαγές στην αρχιτεκτονική και τη λειτουργία του άκρου πόδα.
Ο βλαισός μέγας δάκτυλος είναι κληρονομικός και για τον λόγο αυτό στην ίδια οικογένεια υπάρχουν αρκετές περιπτώσεις της παθολογίας αυτής.
Δεν είναι αυτή καθαυτή η παθολογία κληρονομική αλλά η αδύναμη μηχανική δομή που προδιαθέτει στην εκδήλωση του βλαισού μεγάλου δακτύλου.
Επίσης η χρήση στενών μυτερών παπουτσιών ή / και με ψηλά τακούνια αποτελεί σημαντικό παράγοντα.
Ο βλαισός δάκτυλος είναι μια κατάσταση που διαφοροποιείται με τον χρόνο. Αρχικά η παραμόρφωση είναι μικρή και τα ενοχλήματα περιορίζονται στο μεγάλο δάκτυλο κυρίως μετά από τη χρήση στενών υποδημάτων.
Με την αύξηση όμως της γωνίωσης του μεγάλου δακτύλου, προκαλείται μια αλλαγή στην αρχιτεκτονική του πρόσθιου πόδα με πτώση των κεφαλών των μεταταρσίων, εμφάνιση τύλων (κάλων) κάτω από τις κεφαλές των μεταταρσίων και μεταταρσαλγία.
- Πόνος
- Ερυθρότητα - Σημεία φλεγμονής στο σημείο της παραμόρφωσης.
Τα συμπτώματα μπορεί να είναι πιο έντονα μετά από χρήση στενών και ψηλοτάκουνων παπουτσιών.
Για τον λόγο αυτό είναι πολύ πιο συχνά στις γυναίκες.
Η παραμόρφωση του βλαισού μεγάλου δακτύλου είναι εμφανής. Παρ’όλα αυτά η κλινική εξέταση είναι απαραίτητη για να ελεγχθεί η ενδεχόμενη δυσκαμψία της 1ης μεταταρσο - φαλαγγικής άρθρωσης, η ενδεχόμενη μεταταρσαλγία, άλλες ενδεχόμενες παραμορφώσεις των δακτύλων ή η ενδεχόμενη υπερκινητικότητα της 1ης ταρσο-μετατάρσιας άρθρωσης.
Η εκτίμηση της ύπαρξης ή μη κάποιων από όλα αυτά αλλάζει και το θεραπευτικό πλάνο.
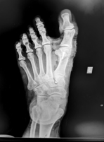
Ο ακτινολογικός έλεγχος είναι απαραίτητος ώστε να εκτιμηθεί η βαρύτητα της βλάβης, μέσω μέτρησης των γωνιών μεταξύ των μεταταρσίων, αλλά και για τον σχεδιασμό της ενδεχόμενης επέμβασης.
Συντηρητική
Στα πρώιμα στάδια. Έχει ως σκοπό την βελτίωση του πόνου. Δυστυχώς δεν υπάρχει τρόπος να αποκατασταθεί η βλάβη που έχει ήδη γίνει.
Η συντηρητική θεραπεία περιλαμβάνει:
- Αλλαγή των υποδημάτων: Η επιλογή των υποδημάτων είναι σημαντικό θέμα. Η αποφυγή στενών και μυτερών παπουτσιών όπως και των ψηλοτάκουνων είναι σε θέση να καθυστερήσει την εξέλιξη.
- Αυτοκόλλητες προστασίες: Προστατεύουν την περιοχή της εξόστωσης από την ευθεία πίεση του παπουτσιού, μειώνοντας έτσι τον πόνο.
- Ορθοτικά - αποστάτες: Μπορούν να μειώσουν την πίεση μεταξύ των δακτύλων αλλά και μεταξύ του παπουτσιού και του μεγάλου δακτύλου. Ιδίως όταν συνυπάρχει πτώση των κεφαλών των μεταταρσίων, η χρήση ειδικών πελμάτων ενδείκνυται για την πρώτη αντιμετώπιση της μεταταρσαλγίας.
- Παγοθεραπεία: Ο πάγος δρά ως τοπικό αντιφλεγμονώδες και παυσίπονο, ιδίως μετά από έντονη καταπόνηση της περιοχής.
- Φαρμακευτική αγωγή: Αντιφλεγμονώδη φάρμακα (όταν δεν υπάρχουν αντενδείξεις) και παυσίπονα βοηθούν την κατάσταση αλλά από μόνα τους δεν έχουν μακροχρόνια επίδραση.
Χειρουργική θεραπεία
Όταν οι συντηρητικές θεραπείες αποτυγχάνουν να ελέγξουν τον πόνο και υπάρχει δυσκολία στην εύρεση υποδήματος, η χειρουργική θεραπεία λύνει οριστικά το πρόβλημα.
Έχοντας στη διάθεσή μας πολλαπλές τεχνικές, ο κλινικός και ακτινολογικός έλεγχος καθώς και απαιτήσεις της καθημερινότητας του ασθενούς καθορίζουν την καταλληλότερη επέμβαση.
Ο χρόνος αποκατάστασης ποικίλλει, ανάλογα την βαρύτητα του προβλήματος που πρέπει να αντιμετωπιστεί.
Ανεξάρτητα όμως από την επέμβαση, ο ασθενής περπατά, με την χρήση ειδικού μετεγχειρητικού υποδήματος την πρώτη ημέρα μετά το χειρουργείο.
Εικόνα: αποκατάσταση βλαισού μεγάλου δακτύλου με οστεοτομία τύπου chevron

